Cada sonrisa que ves aquí pertenece a una persona real, con sus miedos, sus dudas y su deseo de sentirse mejor.
En esta galería te mostramos el antes y después de pacientes que confiaron en nosotros para recuperar su salud, su estética y, sobre todo, su confianza.
Porque una sonrisa no es solo una cuestión de dientes: es bienestar, seguridad y calidad de vida.
Y cada transformación que verás refleja ese cambio desde dentro.


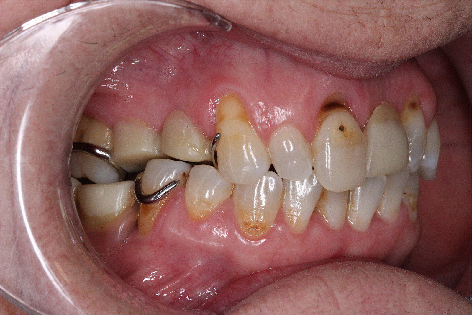
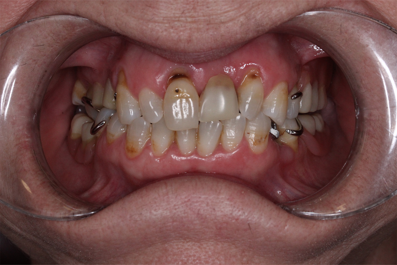
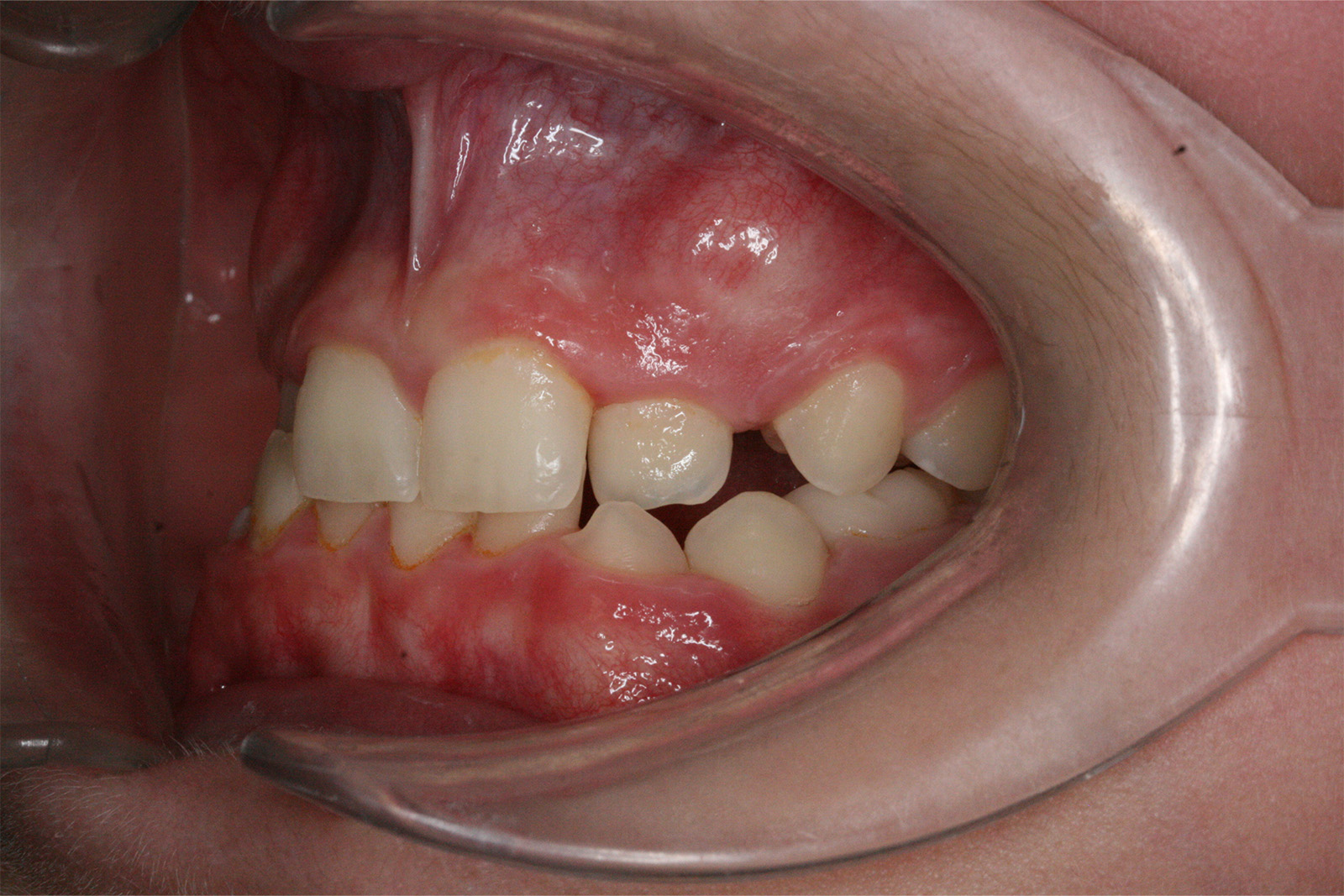
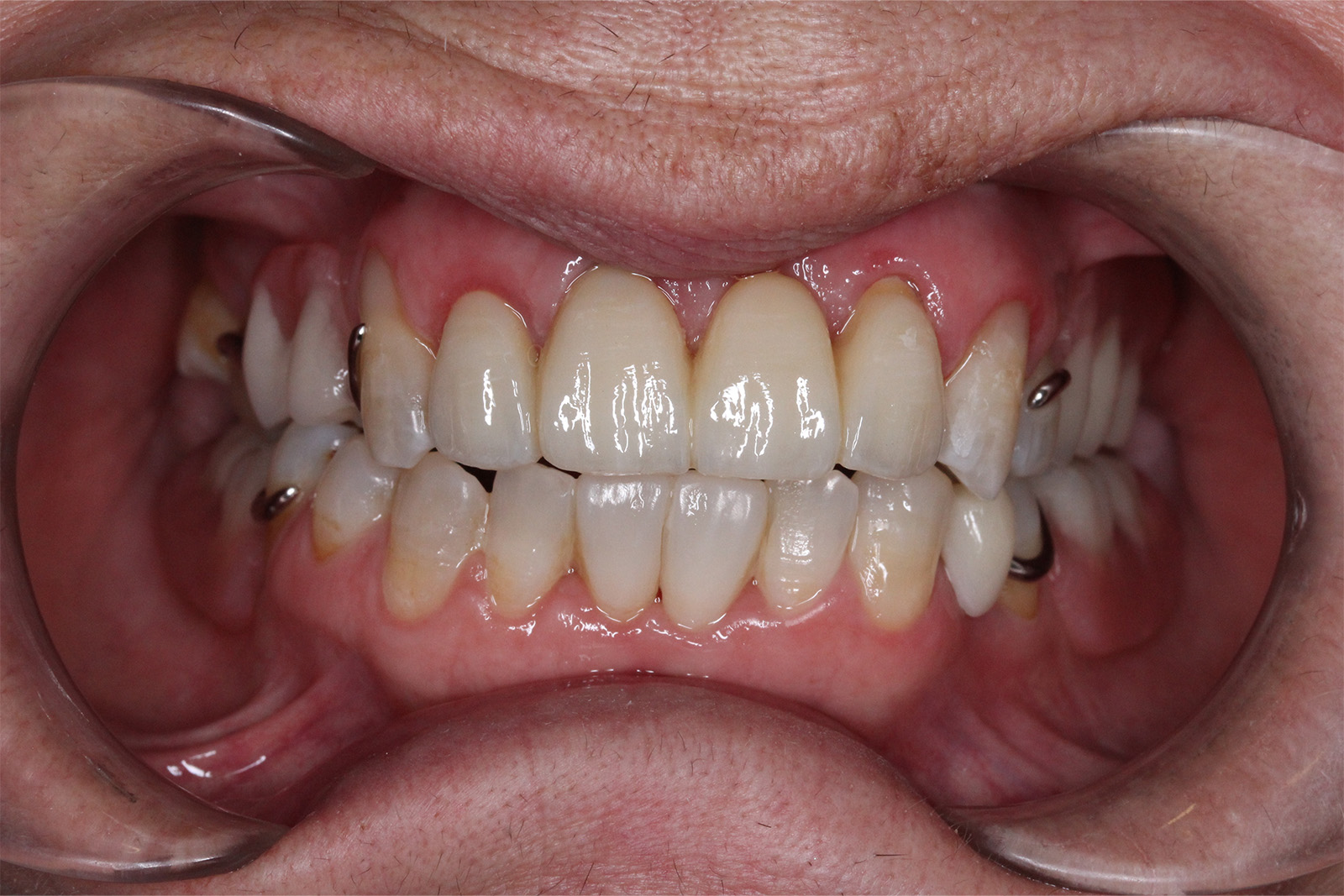
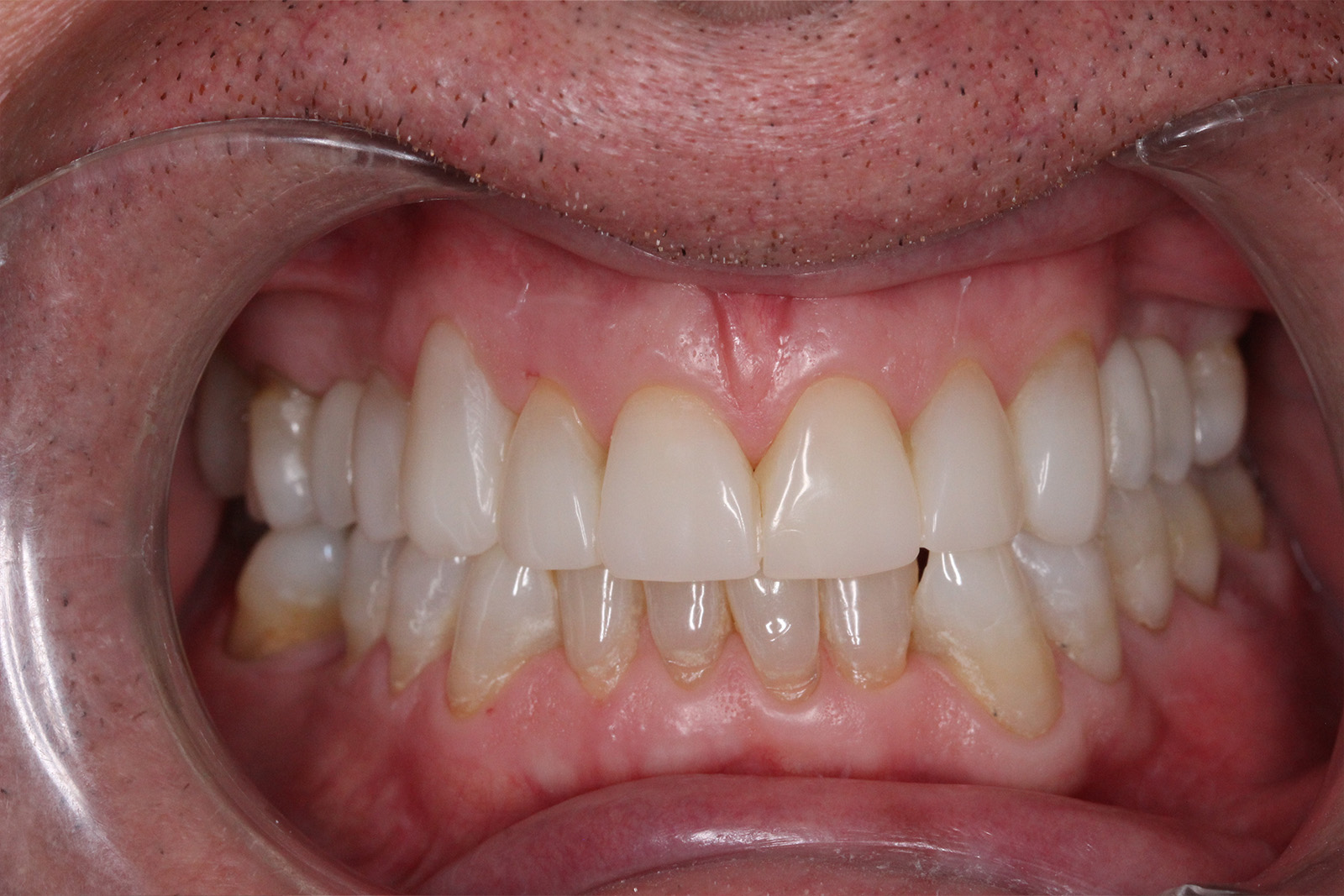
Cuando nuestra paciente llegó a nuestra clínica, su objetivo era claro: quería volver a sonreír sin complejos, recuperar comodidad al masticar y conseguir una estética natural, pero sin renunciar a la funcionalidad.
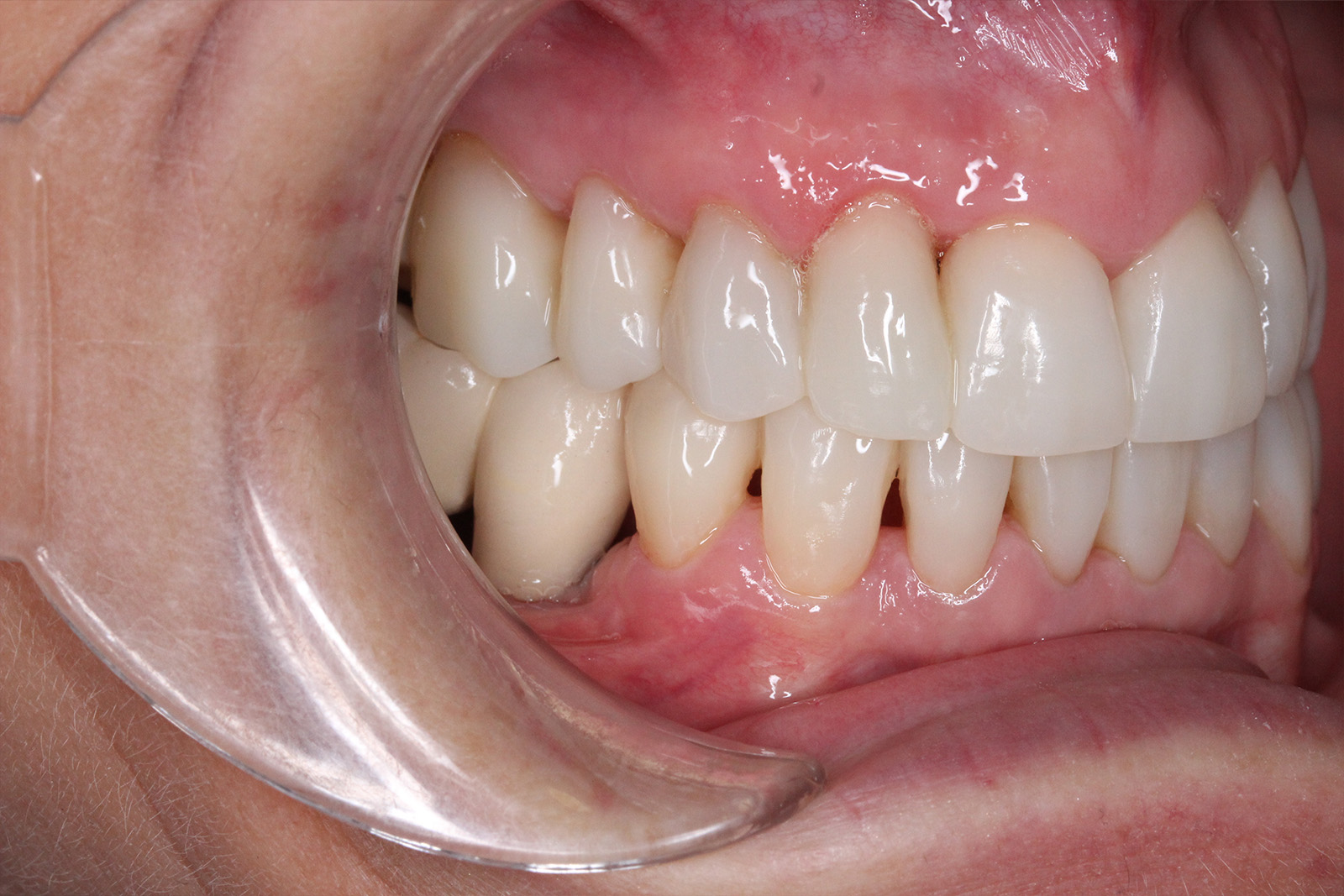
Empezamos su tratamiento con un blanqueamiento dental profesional, que devolvió la luminosidad a sus dientes y unificó el color para conseguir una base estética. Posteriormente, realizamos una rehabilitación con inyección de composite en la arcada superior e inferior. Esta técnica mínimamente invasiva nos permitió devolver forma, volumen y color a los dientes desgastados o deteriorados, con un resultado muy natural y duradero.
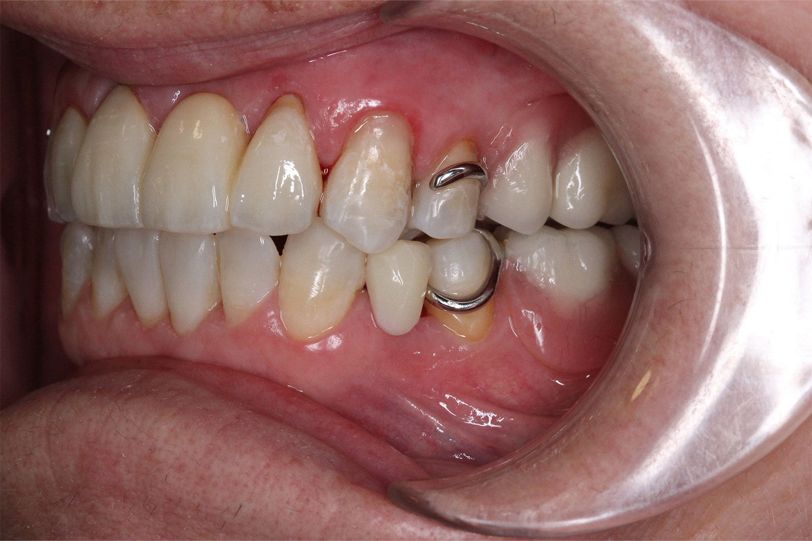
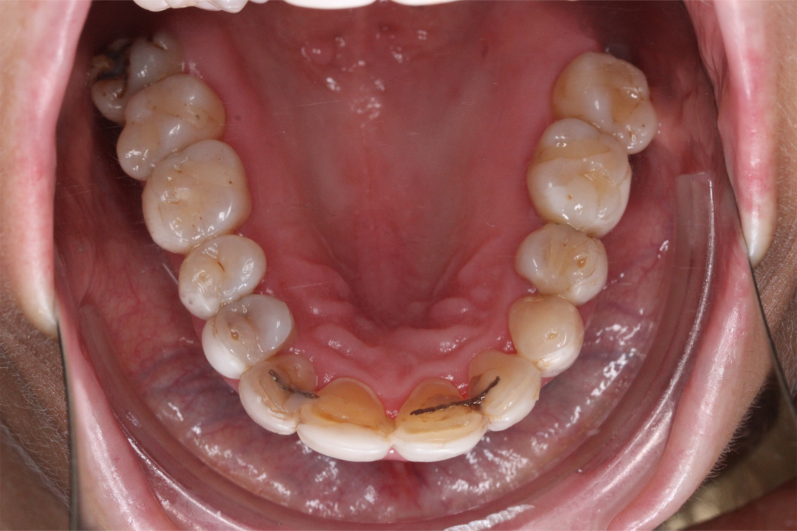
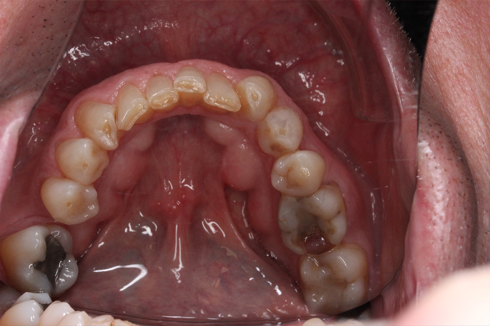
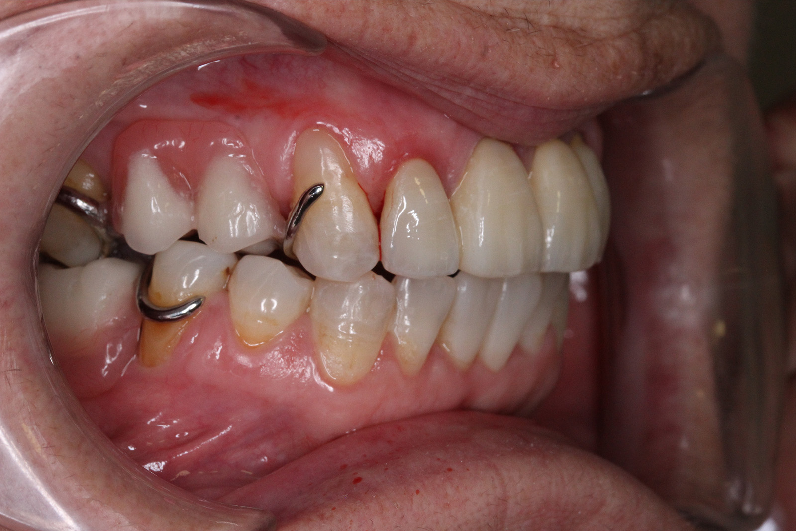
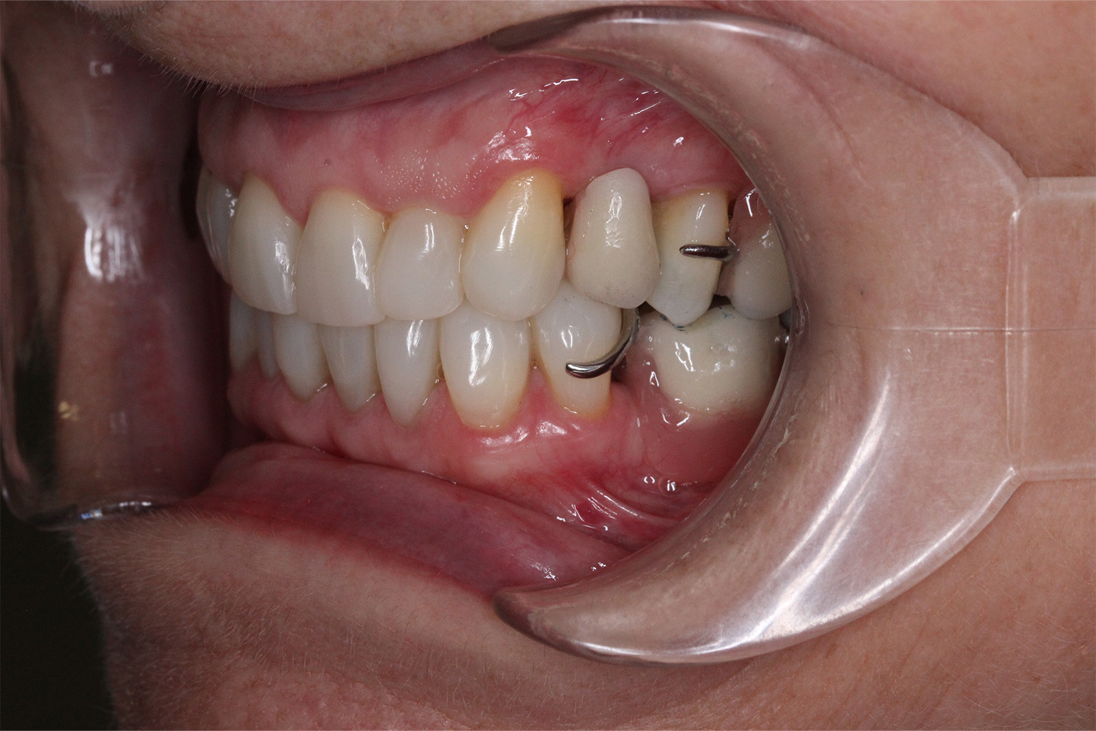
Retiramos una antigua amalgama, y finalizamos el tratamiento con una prótesis parcial removible esquelética, que aportó estabilidad, masticación eficiente y una sonrisa completa. El cambio fue inmediato: recuperó confianza, volvió a sonreír sin miedo y, lo más importante, mejoró su calidad de vida diaria.


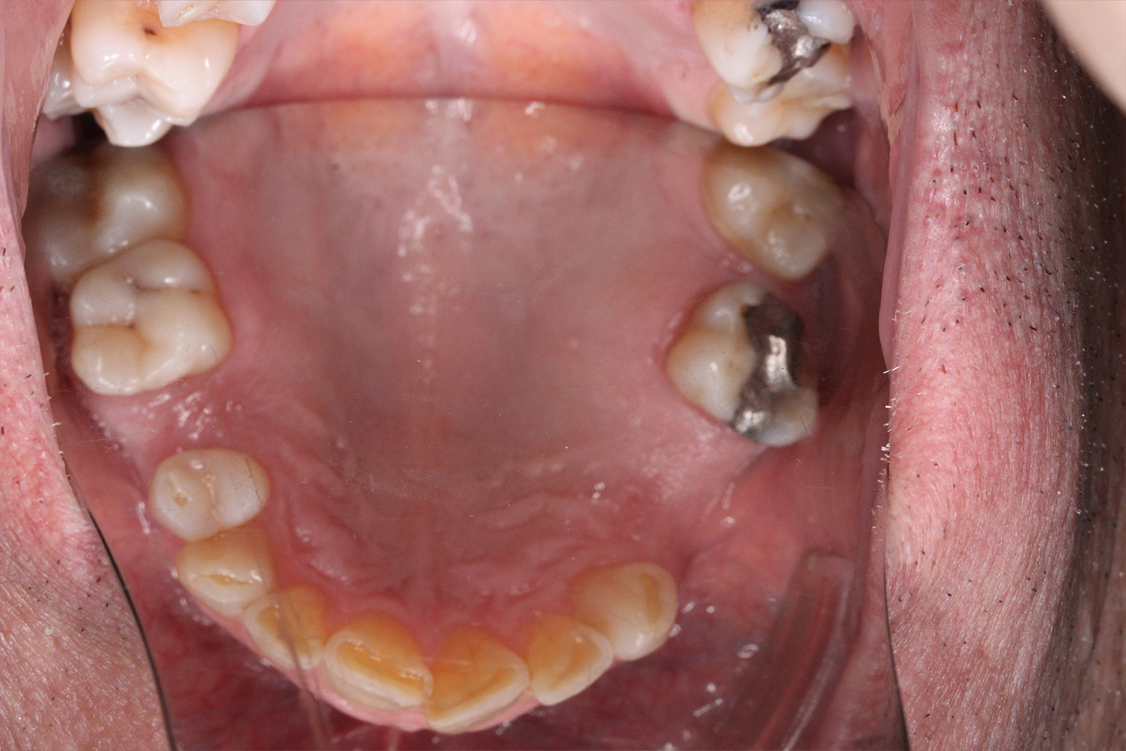
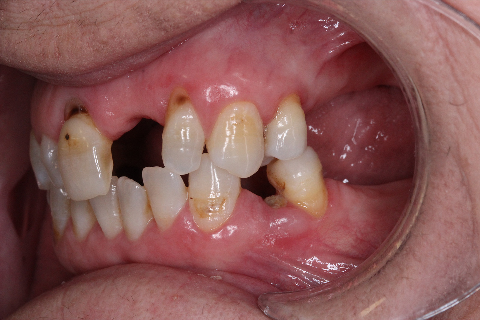
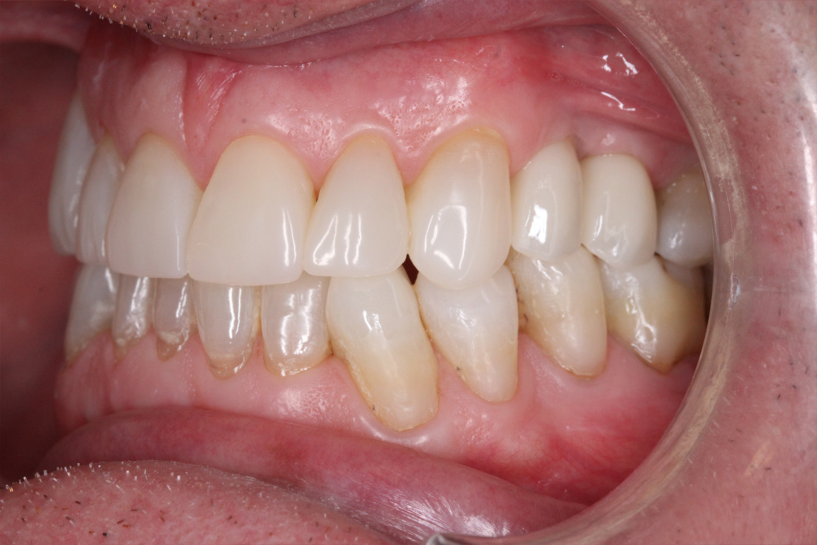
Nuestro paciente llegó a nosotros buscando una solución integral: quería mejorar su salud bucal, pero también la estética de su sonrisa. Su caso requería un plan de tratamiento completo, planificado y personalizado.
Comenzamos con endodoncias y restauraciones mínimamente invasivas en piezas clave (33, 34 y 35), cuidando al máximo la estructura dental. Realizamos un blanqueamiento dental, y procedimos con la colocación de implantes en las piezas ausentes, junto con sus respectivas coronas, para recuperar dientes perdidos con un resultado fijo, funcional y estético.
Además, rehabilitamos ambas arcadas con inyección de composite, lo que permitió una mejora estética notable sin necesidad de tallar dientes. Gracias a esta técnica, conseguimos armonía, simetría y un acabado muy natural.
El resultado fue más allá de lo esperado: no solo recuperó dientes perdidos y mejoró su mordida, sino que ganó una sonrisa renovada, más segura y más acorde a su personalidad. Hoy sonríe con naturalidad y sin ocultarse, y eso, para nosotros, es el mayor éxito.


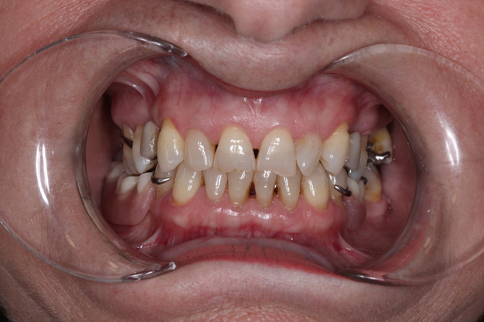
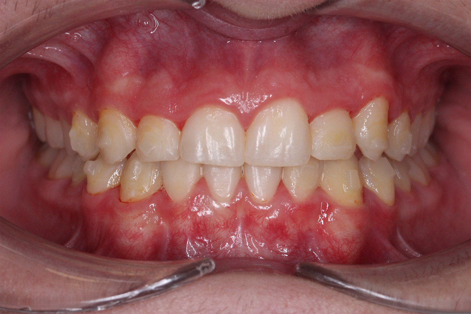
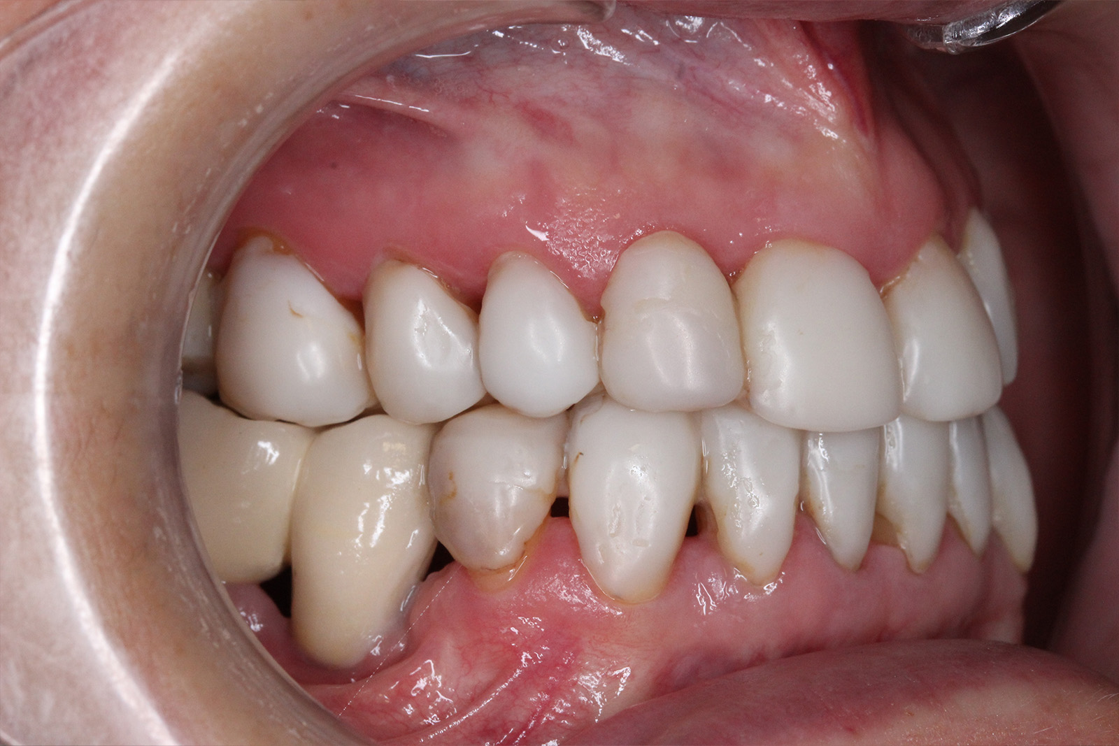
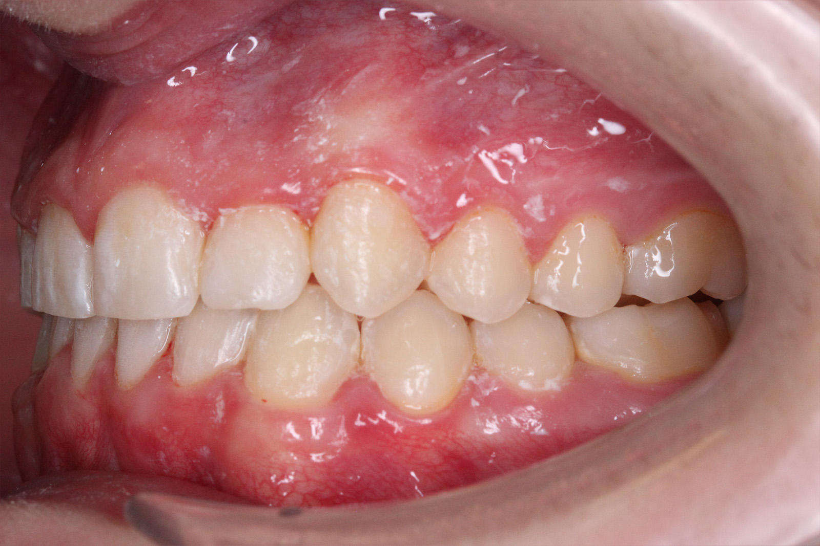
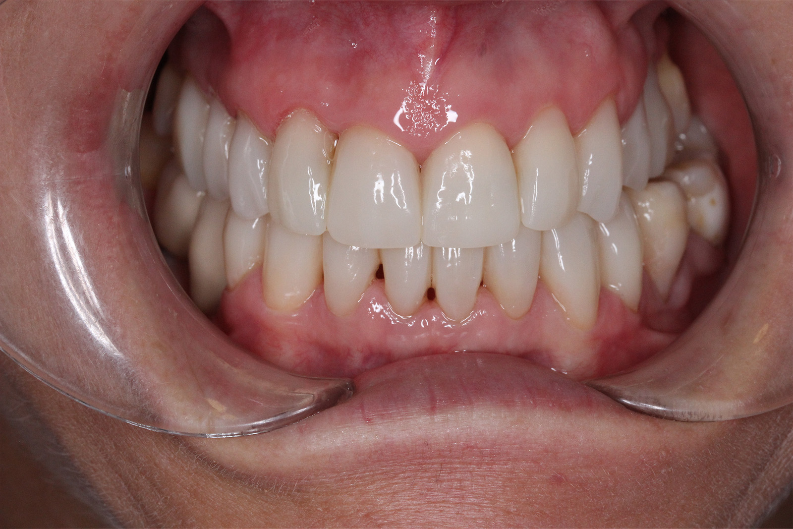
Desde el primer día, nuestra paciente fue muy clara: buscaba una sonrisa perfecta, sin concesiones. Su nivel de exigencia estética nos motivó a dar lo mejor en cada fase del tratamiento. Y así lo hicimos.
El primer paso fue retirar antiguos composites que ya no cumplían los estándares actuales ni estética ni funcionalmente. Colocamos provisionales estéticos que permitieran a la paciente mantener su imagen mientras trabajábamos en la planificación final. Después, realizamos un blanqueamiento dental, que mejoró significativamente el tono general de su sonrisa.
El eje del tratamiento fue una rehabilitación con inyección de composite en ambas arcadas, diseñada para esculpir cada diente con precisión y lograr una armonía perfecta entre forma, tamaño y color. Este tratamiento, al ser mínimamente invasivo, conserva la estructura dental original, ofreciendo a la vez resultados espectaculares.
El cambio fue radical: no solo consiguió la sonrisa que siempre había deseado, sino que ganó seguridad en sí misma. Hoy sonríe con orgullo, sabiendo que su imagen refleja exactamente quién es.


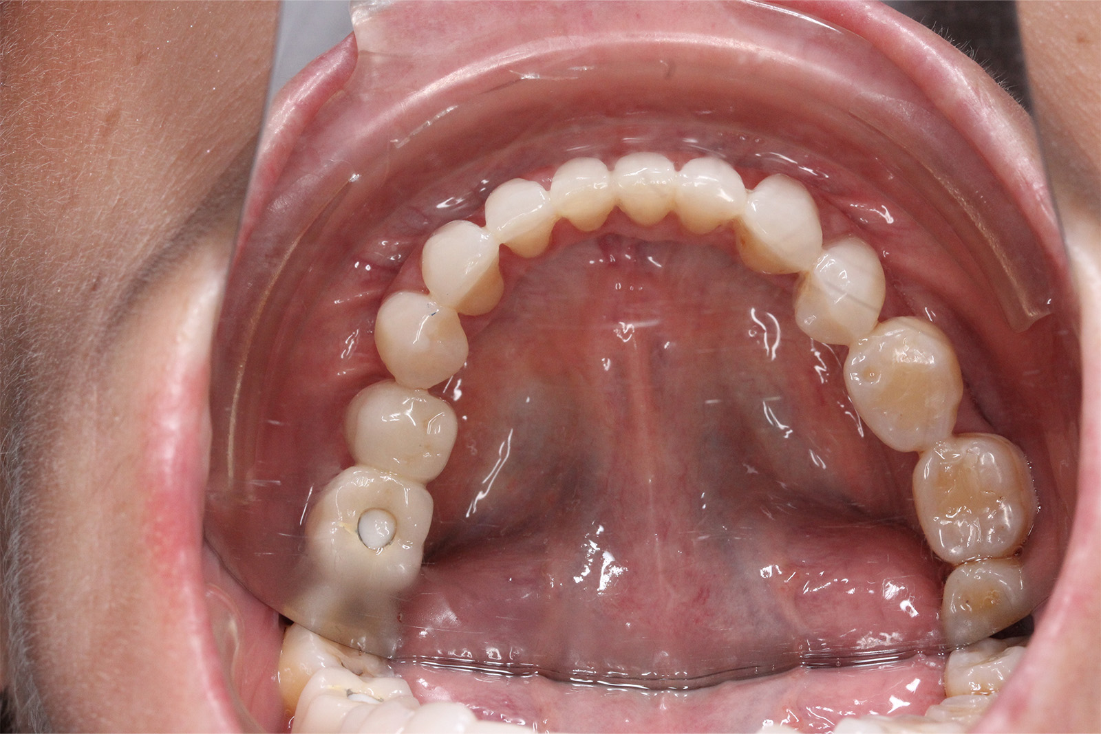
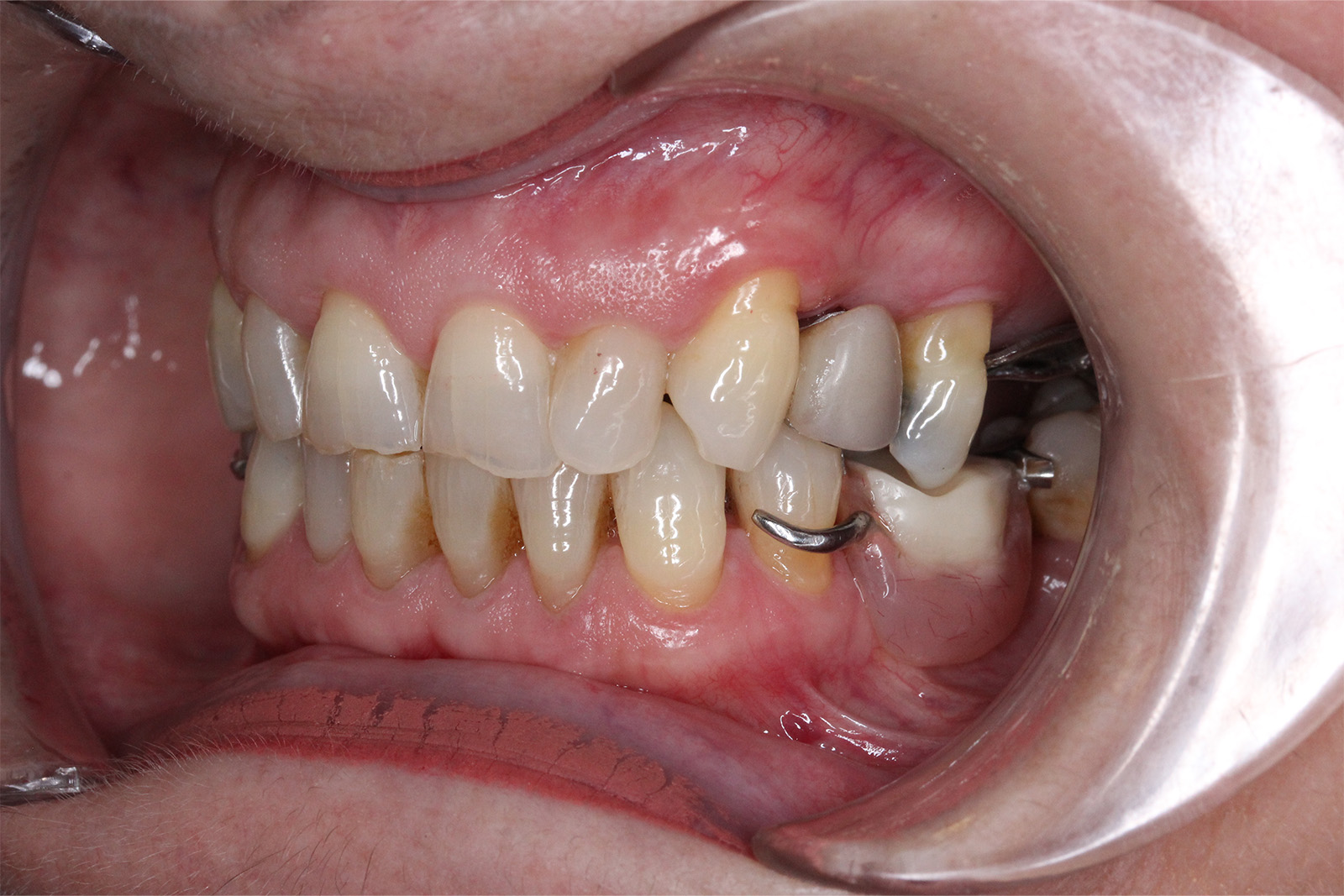
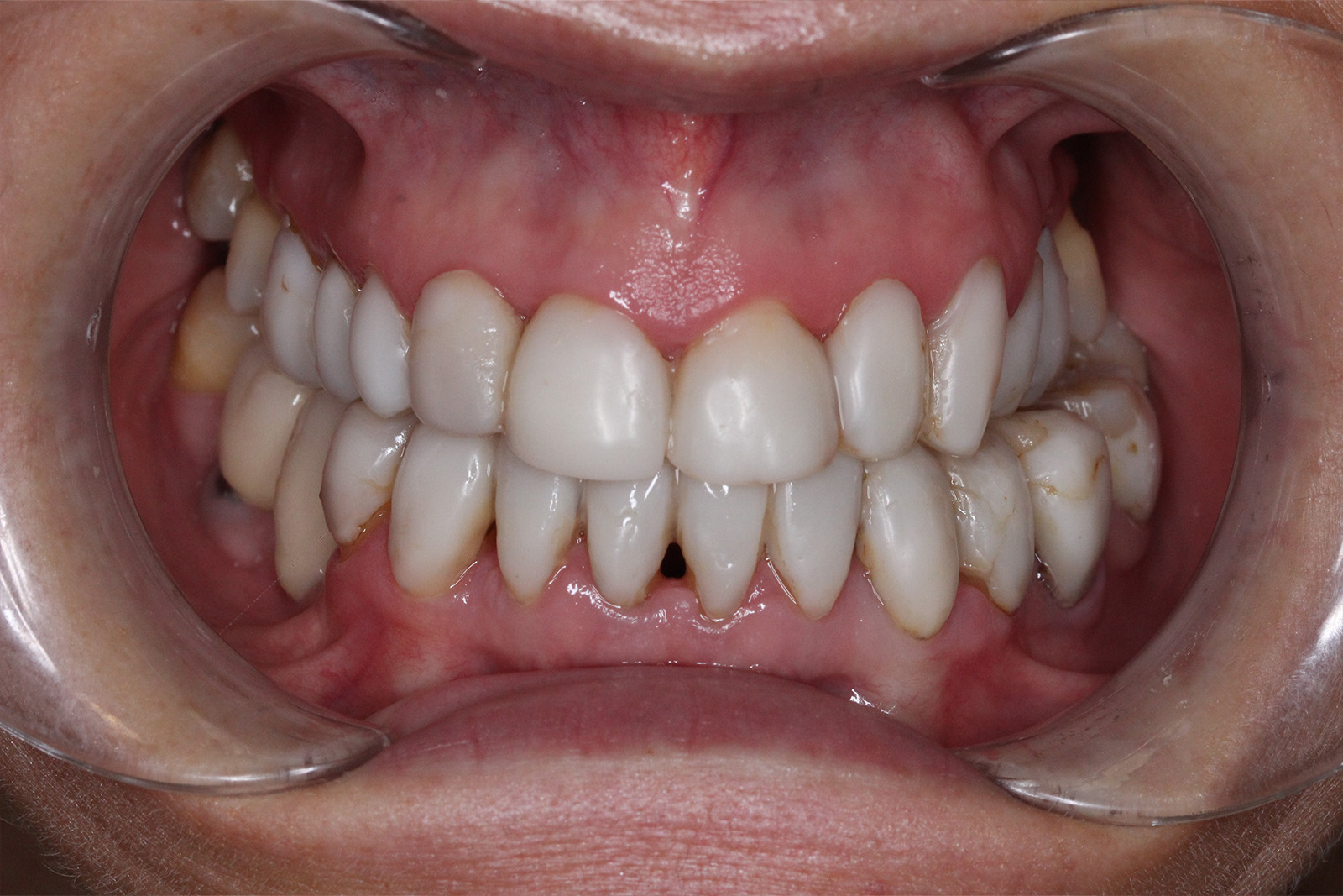
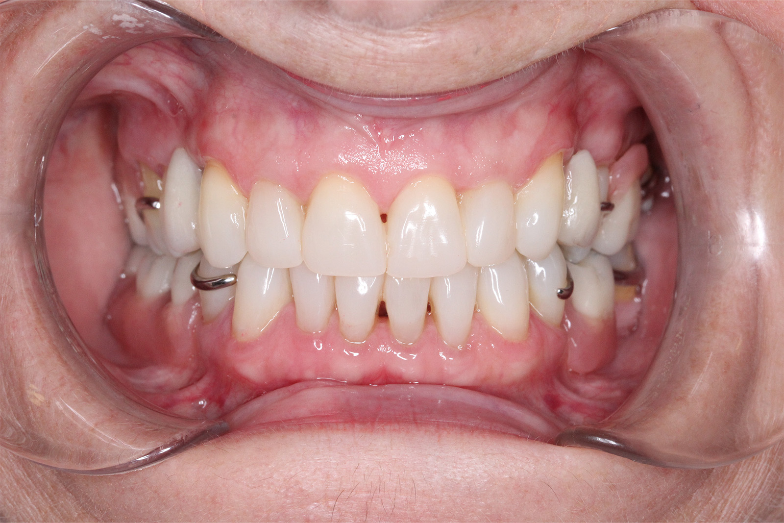
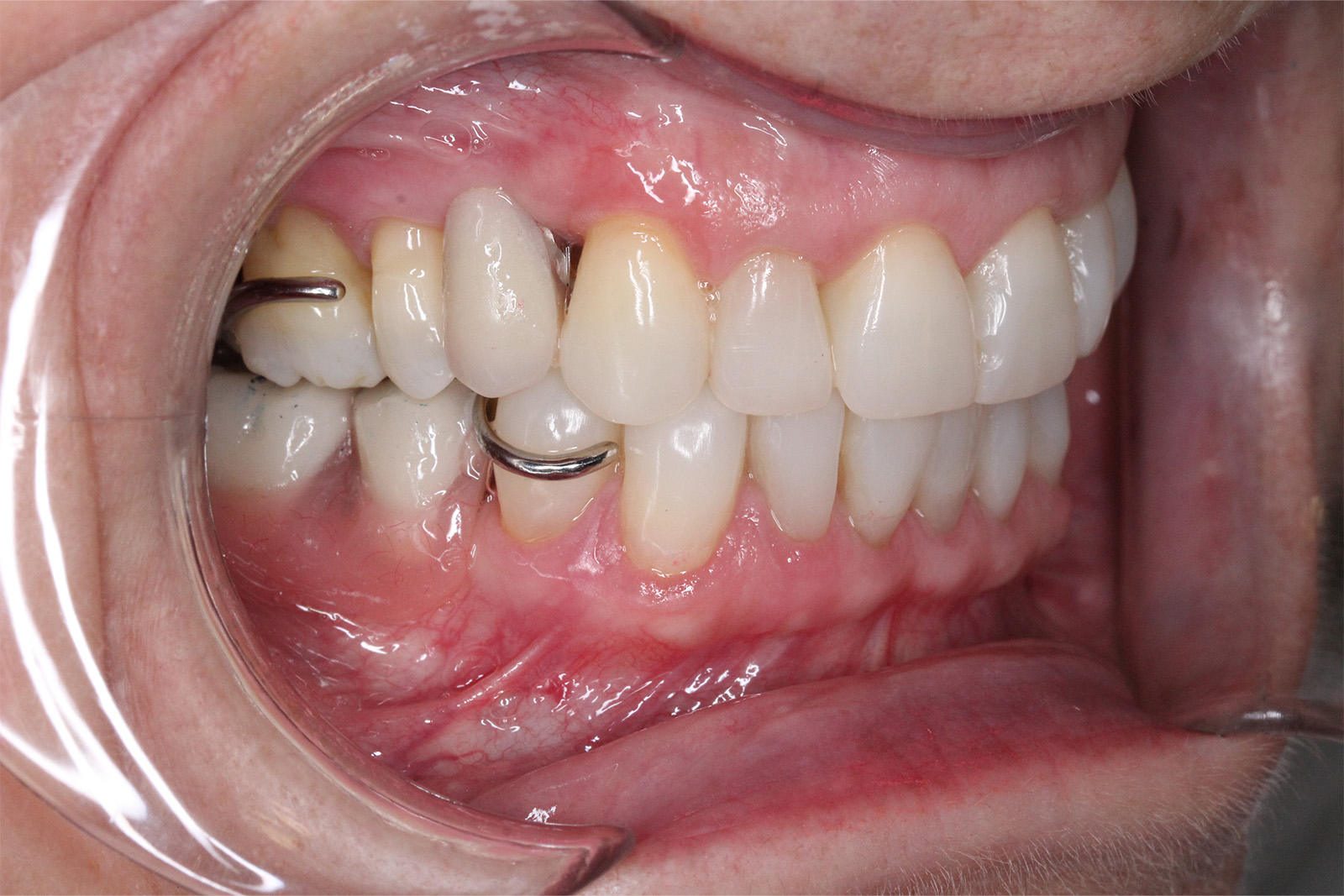
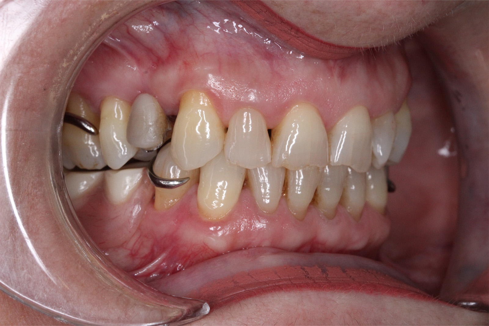
Nuestra paciente acudió a la clínica preocupada por la estética de su sonrisa, pero también por ciertas incomodidades funcionales. Su caso requería un abordaje multidisciplinar para conseguir un cambio integral, tanto en salud como en apariencia.
Comenzamos con una gingivectomía en los dientes 12 y 23, que permitió redefinir el contorno gingival y devolverle armonía a su sonrisa. Seguimos con obturaciones donde era necesario recuperar estructura dental, y realizamos un blanqueamiento profesional que sirvió de base para igualar el tono de todas las piezas.
Se colocaron coronas sobre los dientes 11, 12, 21 y 22, fundamentales en la zona estética, logrando un aspecto natural y perfectamente integrado. Completamos la rehabilitación con inyección de composite en los incisivos inferiores, mejorando su alineación y volumen, y colocamos una prótesis esquelética superior e inferior, que devolvió a Alfonsa la capacidad de masticar con comodidad y confianza.
Gracias a este tratamiento, rejuveneció su sonrisa y volvió a disfrutar de una boca sana, funcional y estéticamente cuidada.


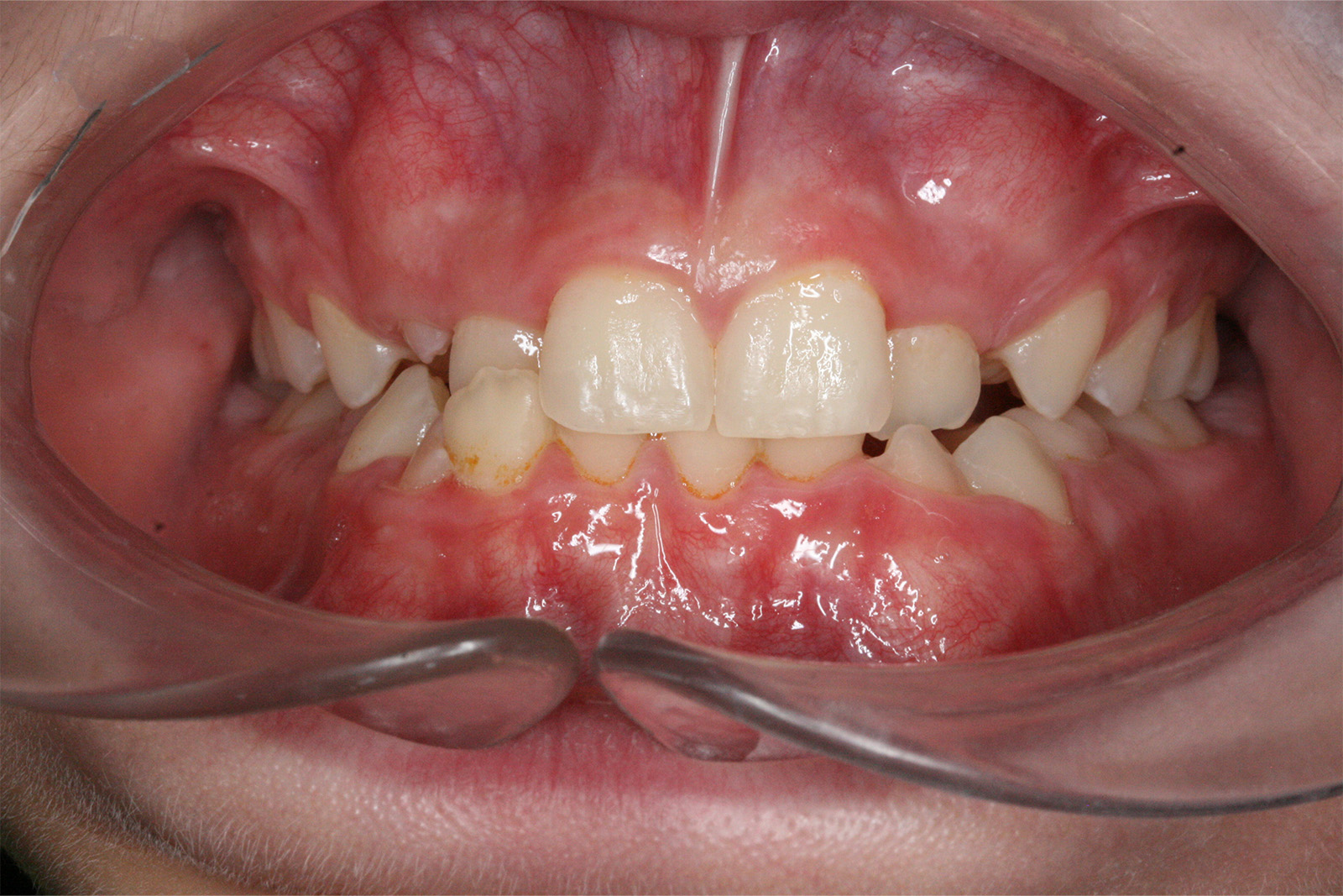
Representa un caso complejo y muy común en niños y adolescentes: alteraciones en la mordida desde edades tempranas, que pueden condicionar el desarrollo futuro de la sonrisa y la función mandibular.
Cuando llegó a la clínica, ya había recibido un tratamiento a los 5 años con un aparato removible en el paladar, pero persistían problemas como la mordida cruzada, una posición baja de la lengua en reposo, y desviación mandibular al morder. Estas condiciones no solo afectan a la estética dental, sino también a la articulación, al habla y al desarrollo óseo.
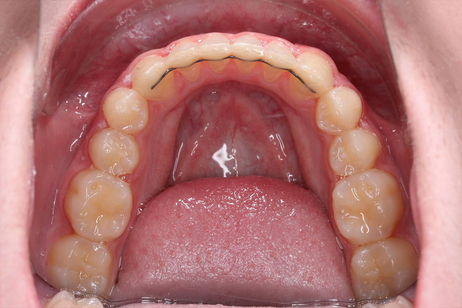
Realizamos un estudio exhaustivo: tomas fotográficas, registros funcionales y análisis de mordida. Se detectó una prematuridad de contacto en el diente 12, que condicionaba la desviación mandibular. Se descartó el uso de máscara facial por decisión familiar, por lo que se propuso un tratamiento adaptado con alineadores invisibles, enfocado a la expansión superior y la creación de espacio para un canino.
Aunque aún en fase de evolución, el tratamiento ha permitido mejorar notablemente la oclusión y guiar el desarrollo de su sonrisa de forma respetuosa, eficaz y sin comprometer la estética. Nuestro paciente ahora sonríe con mayor confianza, y su futuro dental está encaminado hacia el equilibrio funcional y estético.
Tu sonrisa merece un cuidado extraordinario